- Category
- Latest news
Ukrainian Soldier Survived Mariupol, Captivity—and Three Years With a Bullet in His Heart

Ukrainian doctors have removed a bullet lodged in the heart of a soldier who defended Mariupol’s Azovstal steel plant and survived three years in Russian captivity, according to Borys Todurov, director of Ukraine’s Heart Institute, on September 19.
The soldier was captured during Russia’s siege of Mariupol in 2022 and spent years as a prisoner of war before being freed in an exchange two months ago.
A Ukrainian Defender spent three years in Russian captivity with a bullet in his heart.
— Anton Gerashchenko (@Gerashchenko_en) September 19, 2025
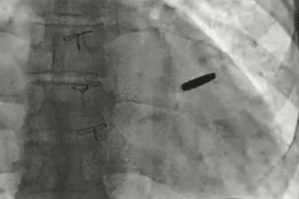
Ukrainian cardiac surgeon Borys Todurov said that the Warrior had defended Azovstal and, after being wounded, was taken prisoner in 2022. He was exchanged a few months ago.
"For all those… pic.twitter.com/imXkelX00y
Todurov said the bullet miraculously missed vital structures, allowing the fighter to live with it embedded in his heart for three years.
“The bullet has now been removed. The guy got lucky. I think he will live a long and happy life,” Todurov said, holding up the projectile during a press briefing.
-5eea2cf1126d975e702896f6b4c7b36f.png)
He described the soldier as “invincible” and praised his resilience: “Three years in captivity with a bullet in his heart. These people are titans. Unconquerable!!!”
Doctors said the bullet caused no serious damage during the years it remained lodged in the heart.
Earlier, four Ukrainian servicemen who had been hiding in a hospital on Russian-occupied territory for more than three years were successfully evacuated.

The operation began after Ombudswoman for the Rights of Servicemen and Their Families, Olha Reshetilova, learned that the twin brother of a recently exchanged marine had been seriously wounded in 2022 and secretly sheltered by doctors from Russian forces.
It was later discovered that three National Guard fighters were also in the same hospital. Together with Reshetilova and National Guard Commander Brigadier General Oleksandr Pivnenko, a coordination headquarters was set up. Special units of the Navy and National Guard carried out the multi-stage rescue under conditions of heavy fighting and strict Russian filtration measures.






-c439b7bd9030ecf9d5a4287dc361ba31.jpg)


-72b63a4e0c8c475ad81fe3eed3f63729.jpeg)